診療時間

9:30~12:00 / 14:30~18:00

土曜は17:00まで

【休診日】木・日・祝

お電話からお気軽にご連絡ください

0568-89-0077

インプラント症例

implant case
インプラントの症例一覧
インプラント症例1
前歯インプラント症例
主訴
後日追加予定
治療内容
後日追加予定
費用
後日追加予定
治療期間
後日追加予定
リスク・副作用
後日追加予定
インプラント症例2
インプラントレントゲン写真
インプラント治療後
STEP 01

一次手術

上顎
before
下顎
after
インプラント手術画像①
インプラント手術画像①
STEP 02

二次手術

被せ物作成
before
被せ物作成
after
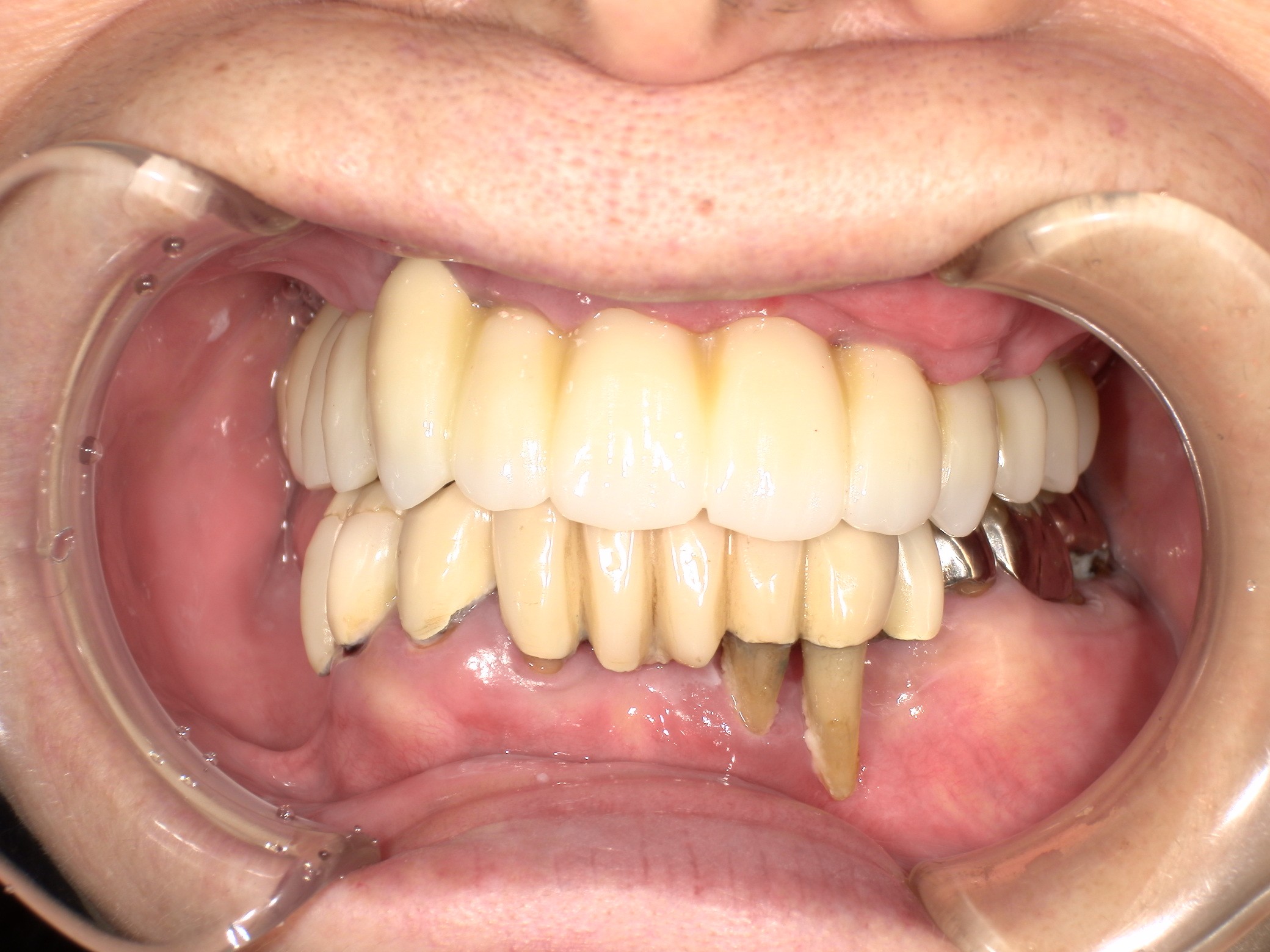
STEP 03

インプラントの装着

インプラント
before
インプラント装着画像
after
主訴
後日追加予定
治療内容
後日追加予定
費用
後日追加予定
治療期間
後日追加予定
リスク・副作用
後日追加予定

お電話からお気軽にご連絡ください

0568-89-0077